TVF Oltenia
Traian Băsescu trage semnalul de alarmă: Vă pregătiţi să faceţi o...
Fostul președinte Traian Băsescu susține că decidenții vor face o mare eroare, dacă ridică resatricțiile de circulație pe data de 15 mai. ”Dragi decidenţi,Vă pregătiţi...
VIDEO | Polițiști din Vâlcea, cercetați pentru purtare abuzivă după o...
Mai mulți polițiști din județul Vâlcea sunt cercetați pentru purtare abuzivă. Procurorii s-au sesizat din oficiu după ce au văzut mai multe imagini în...
Ciolacu, ieșire dură după demiterea lui Streinu-Cercel: ‘În locul Tătaru m-aș...
Liderul PSD, Marcel Ciolacu, a declarat, joi, despre demiterea lui Adrian Streinu-Cercel din comisia anti-COVID a Ministerului Sănătății, că, în locului lui Nelu Tătaru,...
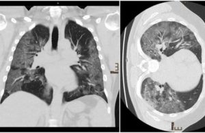
Cum arată radiografia la plămâni a unui medic infectat cu Covid-19
Medic infectat cu Covid-19Radiografia arată răspândirea virusului
Clinica respectivă este cunoscută pentru reticența de a pune imediat pacienții cu dificultăți de respirație pe ventilatoarele mecanice,...
ULTIMĂ ORĂ Adrian Streinu – Cercel a FOST DEMIS de Nelu...
Medicul Adrian Streinu - Cercel a fost de Nelu Tătaru de la șefia șefia comisiei științifice anti-COVID din Ministerul Sănătății. Anunțul a fost făcut...
Cea mai mare parcare de avioane din lume e plină. Coronavirusul...
Cea mai mare parcare de avioane din lume e plină. Coronavirusul ține sute de aeronave la sol, iar cele care zboară au doar câte...
Scrisoarea unei mame către autorități: „Lăsați copiii acasă până în toamnă....
O mamă a doi copii a trimis guvernaților o scrisoare deschisă, în contextul în care autoritățile române lucrează la un plan pentru redeschiderea școlilor...
Papa Francisc a donat cinci ventilatoare pentru bolnavii de coronavirus din...
Papa Francisc a donat cinci ventilatoare pentru bolnavii de coronavirus din România. Ventilatoarele vor merge la Suceava, județul cu cel mai mare număr de...
Ce se va întâmpla cu nunțile planificate după încetarea stării de...
Ministrul Afacerilor Interne, Marcel Vela, a precizat, miercuri, că după 15 mai nu se vor putea organiza nunţi cu sute de persoane, menţionând însă...
Pe 15 mai începe relaxarea restricțiilor în România
Apar zorii relaxării și în România: de fapt mai mult promisiunea lor. Din 15 mai, vom putea ieşi din case fără bilet de voie....
Când se va confrunta România cu un al doilea val de...
Un al doilea val de îmbolnăviri de coronavirus n-ar întârzia prea mult să apară în România, după cum consideră profesorul Alexandru Rafila, președintele Societății Române de Microbiologie.
Potrivit...
Pacienți ținuți împotriva voinței lor în spitalul din Piatra Neamţ
Internați dar fără tratament, bolnavi dar fără simptome. Mai mulţi pacienţi infectaţi cu noul virus acuză că stau degeaba de mai bine de o...














