Acasă 2020
Arhive Anuale: 2020
Bogdan Despescu, către românii din Diaspora: ‘Dacă veniți în România, pentru a petrece Paștele,...
Secretarul de stat din MAI, Bogdan Despescu, a prezentat joi, la sediul MAI, măsurile care se vor lua în perioada Sărbătorilor Pascale.
„Am dispus structurilor...
Alţi nouă pacienţi cu coronavirus au murit în România. Bilanţul morţilor: 257
Grupul de Comunicare Strategică a transmis, vineri, că încă nouă persoane au urit din cauza coronavirus, numărul deceselor ajungând la 257.
Grupul de Comunicare Strategică...
Dacă pleci să culegi sparanghelul pentru madam Merkel nu mai există coronavirus?
Joi, 9 aprilie 2020, peste 1500 de persoane, atât din bazinul carpatic cât și din județele Moldovei, se aflau pe aeroportul „Avram Iancu” din Cluj-Napoca,...
Angajaţi ai spitalului din Suceava, acuzaţi că au cerut mită pentru ridicarea trupurilor neînsufleţite
La Suceava, iadul pare să nu se sfârşească. Creşte numărul persoanelor infectate, iar în ultimele 24 de ore un spital de îngrijiri paliative şi...
Avem voie să ieșim să cumpărăm carne de miel de Paște? Răspunsul Poliției Române
Poliţia Română face câteva precizări pentru populaţie în contextul apropiatelor sărbători pascale.Într-o postare pe pagina de Facebook, Poliţia Română arată că cetăţenii pot merge...
Încă 2 pacienţi cu coronavirus au murit, în România, ridicând bilanţul deceselor la 248
Autoritățile române anunță încă două decese dintre pacienții bolnavi de coronavirus. Este vorba despre doi bărbați din județele Teleorman și Brașov.
Unul dintre decese este...
Rugăciunea pentru încetarea epidemiei de coronavirus! Preoții o rostesc zilnic
Epidemia de coronavirus izbucnită în numeroase țări din lume i-a făcut pe creștini să se apropie mai mult de credință. Recent, Patriarhul Daniel i-a ăndemnat pe...
Amendați și puși să măture pe stradă, după ce au făcut grătar și au...
Mai mulți oameni au fost amendați și apoi puși să măture pe stradă, în Câmpulung Muscel, județul Argeș, după ce au ieșit din izolare,...
Încă 17 pacienţi cu coronavirus au murit, în România, ridicând bilanţul deceselor la 246
Autoritățile române au anunțat încă 17 decese, dintre pacienții infectați cu covid-19. Este vorba despre 8 femei și 9 bărbați, cu vârste cuprinse între...
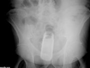
Oltean de 23 ani, adus de urgenţă la spital cu un tub de deodorant...
Un tânăr dintr-o comună olteană a ajuns joi după-amiază, 9 aprilie, la spitalul din Slatina, după ce a solicitat ajutorul în urma unui „accident...
Protest într-un centru de carantină din Craiova. S-au urcat pe clădire
Mai multe persoane aflate într-un centru de carantină din Craiova au protestat, joi, urcând pe acoperișul hotelului și acuzând faptul că inspectorii Direcției de...
VIDEO | Un craiovean a băgat spaima în jandarmi: „Dacă intrați în curte, tai...
Scene halucinante petrecute în Bănie: Un craiovean a scos cuțitul la oamenii legii, chiar în fața copiilor!
Jandarmii și polițiștii din Craiova nu au pe...















